Product Articles

Life Science

SuperScript™ III One-Step RT-PCR System with Platinum™ Taq DNA Polymerase

SuperScript™ III One-Step RT-PCR System with Platinum™ Taq DNA Polymerase ยี่ห้อ Invitrogen™ ภายใต้บริษัท Thermo Fisher Scientific ประเทศสหรัฐอเมริกานี้ ออกแบบมาเพื่อใช้ในงานตรวจ วิเคราะห์ หรือเพิ่มจำนวนยีนที่สนใจ จากตัวอย่างอาร์เอ็นเอ (RNA) ด้วยเทคนิค RT-PCR (Reverse Transcription Polymerase Chain Reaction)

ด้วยระบบ One-Step RT-PCR System จึงทำให้ทั้งกระบวนการสร้าง cDNA จาก RNA ในตัวอย่างที่สนใจ (cDNA synthesis) และกระบวนการเพิ่มจำนวนยีนดังกล่าวจาก cDNA ด้วยเทคนิค PCR (PCR amplification) นั้น เกิดขึ้นภายในหนึ่งหลอด PCR เพียงมีไพรเมอร์ที่จำเพาะ และ RNA จากตัวอย่างที่สนใจเท่านั้น

น้ำยาชุดนี้ได้รวมสุดยอดของเอนไซม์ในการสร้าง cDNA และ PCR amplification ไว้ที่เดียว คือ SuperScript® III Reverse Transcriptase และ Platinum® Taq DNA polymerase (Hot start)

นอกจากนี้ ได้มีการอ้างอิงในการนำน้ำยาชุดนี้ไปตรวจวิเคราะห์เบื้องต้นด้วยวิธี conventional PCR ของโรคติดเชื้อต่างๆ โดยองค์การอนามัยโลก (WHO) ที่สำคัญที่สุดในขณะนี้คือ ไวรัสโคโรนาสายพันธุ์ใหม่ได้

จุดเด่นของ SuperScript™ III One-Step RT-PCR System with Platinum™ Taq DNA Polymerase

  1. ใช้ปริมาณตัวอย่าง RNA เริ่มต้นเพียง 0.01 pg ก็สามารถนำไปเพิ่มปริมาณยีนที่สนใจได้
  2. ความสะดวกสบาย: ด้วยระบบ One-Step RT-PCR System ทำปฏิกิริยาทั้งหมดในหนึ่งหลอด PCR ทำให้สะดวก รวดเร็ว และลดความผิดพลาดจากระบบเดิมได้
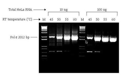
  3. มีความจำเพาะเจาะจงสูง: ด้วยความสามารถของเอนไซม์ SuperScript® III Reverse Transcriptase ที่สามารถสร้าง cDNA ได้ที่อุณหภูมิสูงสุดถึง 60 องศาเซลเซียส ทำให้ได้ปริมาณของ cDNA จากยีนที่สนใจเป็นจำนวนมากและช่วยทำให้ secondary structure RNA คลายตัวได้ดี
  4. สามารถตรวจ วิเคราะห์ หรือเพิ่มจำนวนยีนที่สนใจความยาวสูงสุด 4.5 กิโลเบส


รูปที่ 1 แสดงการใช้ปริมาณ RNA ตั้งตั้นที่ 10 ng, 100ng และปรับ annealing temperature ให้สูงถึง 60oC

สนใจสอบถามหรือดูข้อมูลเพิ่มเติมได้ที่
https://www.thermofisher.com/order/catalog/product/12574026?SID=srch-hj-12574026#/12574026?SID=srch-hj-12574026  หรือ ติดต่อแผนก Technical support e-mail: TAS@3nholding.com หรือฝ่ายงาน Life Science product โทร 022748331


X