Product Articles
Life Science
EVOS™ XL Core Imaging System กล้องจุลทรรศน์หัวกลับ (Inverted Microscope)

กล้องจุลทรรศน์ชนิดหัวกลับ (Inverted Microscope) EVOS™ XL Core Imaging System เป็นกล้องจุลทรรศน์แบบ transmitted light ที่เหมาะสำหรับโหมด brightfield และ phase contrast ที่มาพร้อมกับ digital camera แบบ color camera และการแสดงผลผ่านหน้าจอมอนิเตอร์ รวมทั้งมีเลนส์ที่มีคุณภาพสูงที่ให้ภาพแบบ high-definition images ซึ่งเหมาะสำหรับงานทางด้านการเพาะเลี้ยงเซลล์อย่างเป็นประจำในทุกๆวัน และ การถ่ายภาพเซลล์หรือเนื้อเยื่อ ตัวเครื่องมีการออกแบบให้มีขนาดเล็กสามารถวางไว้ในห้อง cell culture ที่มีเนื้อที่จำกัดได้ โดยเฉพาะตัวกล้องสามารถนำเข้าใช้งานใน cell culture hood
.jpg)
ดังนั้น The EVOS XL Core Imaging System มีคุณลักษณะเด่นดังนี้ :
• ง่ายต่อการติดตั้ง ; ไม่จำเป็นต้องบำรุงรักษา,ประกอบ, จัดเรียง หรือ ทำการ calibration
• มีการออกแบบให้สามารถใส่เลนส์ได้ 4 ช่องเลนส์
• สามารถทำงานได้ใน cell culture hood
• มีการออกแบบ All-in-one ประกอบด้วย digital camera, precision optics, LCD display, และ USB storage
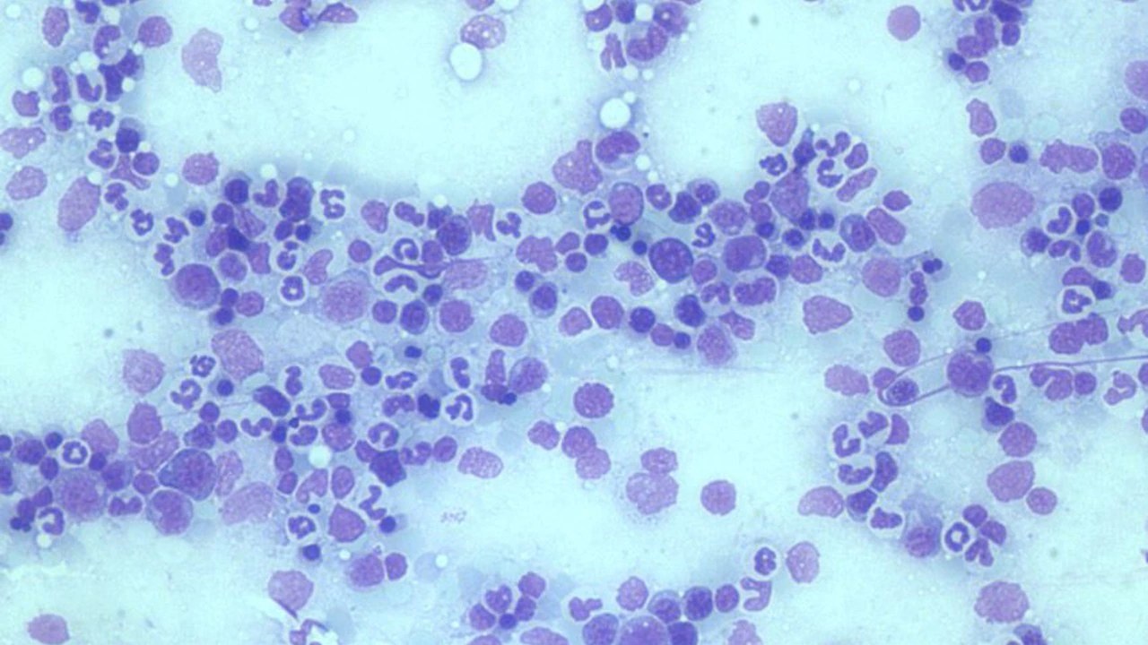
รูปตัวอย่างจากกล้อง Evos xl core, กำลังขยาย 40x จากตัวอย่าง Human blood
.jpg)
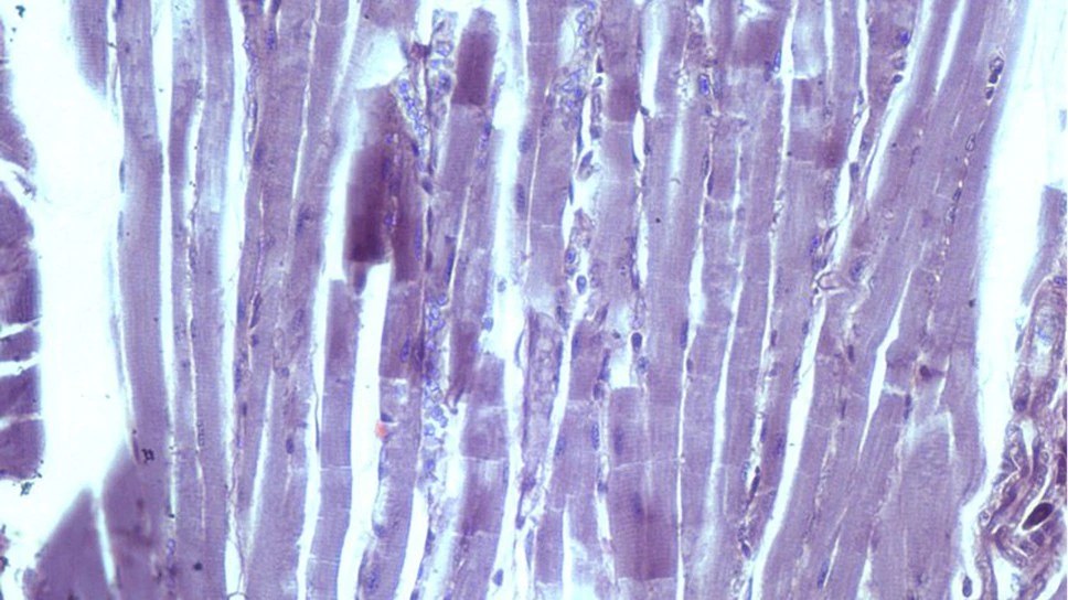
รูปตัวอย่างจากกล้อง Evos xl core, , กำลังขยาย 40x ของเนื้อเยื่อกล้ามเนื้อลาย
สนใจดูข้อมูลเพิ่มเติมได้ที่ https://www.thermofisher.com/order/catalog/product/AMEX1000?SID=srch-srp-AMEX1000#/AMEX1000?SID=srch-srp-AMEX1000 หรือ ติดต่อแผนก Technical support e-mail: TAS@3nholding.com หรือฝ่ายขาย แผนก Life Science product โทร 022748331
บทความโดย:ชยาภรณ์ สืบคำแก้ว
ตำแหน่ง:Technical Application Specialist for Cellular Analysis Product









